发薪就能变强,我有十亿员工! 第1285节
想要购买C4大豆和小麦的种子,就必须接纳这批华国农业工人。
更何况,法国境内虽无活火山,但海外的活火山并不少,若是哪天需要购买祝融火山热循环系统,只能向森联能源科技求助。
要是得罪了森联集团,以后还能买到所需设备吗?
因此,橙子农牧科技的第一批员工进入皮卡第时,立刻受到了当地人的欢迎。
还有人特意借着交朋友的名义,主动和这些农场工人套近乎。
其实他们的真实目的,是想让这些华人帮忙代购Neuro Guard。
毕竟在法国,一盒Neuro Guard的售价虽然比不上北美地区,但也要2.16万美金,即便是走医保计划后,价格仍然比华人购买的价格贵一倍。
桑哲抵达皮卡第的第二天,就开始熟悉农场的基本情况。
这里的农场远比他想象中规整,大片的耕地被智能灌溉系统分割成整齐的区块,远处的现代化收割机静静停放着。
几台无人机在低空盘旋,监测着土壤墒情。
负责带他的是个叫李海柱的中年男人,之前在东北种了十几年地,去年加入橙子农牧科技,在澳洲种了一年超级稻2000。
如今法国农场刚成立,急需人手,就把他调了过来。
“小桑,咱们公司种地和国内不一样,大多靠智能设备。
你先跟着我学怎么操作监测仪,不难,多用几遍就会了。”
李海柱领着他往前走,边走边说,脸上挂着淡淡的笑意。
他小学毕业,现在掌握的种植技能全是在公司里学会的。
桑哲点点头,认真记下李海柱说的每一个操作步骤。
李海柱说得没错,智能监测仪的操作确实不复杂。
屏幕上的图标清晰明了,湿度、温度、土壤养分含量等数据一目了然,只需轻点屏幕就能完成采样和记录,遇到异常数据还会自动弹窗提醒。
桑哲跟着李海柱学了一个上午,就已经能独立完成基础的监测工作。
李海柱长得又高又壮,教桑哲使用各种农具时却格外细心,说话也是温吞的语气,脸上始终带着笑意。
他知道这孩子的情况不太好,人事部门早就提前跟他交代过了。
这也是桑哲前两次没能通过面试的原因。
人事部门担心他入职后万一出点意外,责任都要由公司承担。
但他第三次投递简历时,触发了莫斯智能的报警机制,被陈延森知晓后,才获得了这次工作机会。
“谢谢。”
桑哲能感受到,李海柱是个好人。
他原先在沪城做电商客服,整天被客户骂、被老板骂,从来没想过,橙子农牧科技的主管竟然会这么温和。
中午吃饭时,食堂挤满了上千人,其中三成是本地人。
桑哲跟在李海柱身后,只打了点青椒炒蛋和西红柿蛋汤。
李海柱见状,当即脸色一板,说道:“多吃点肉啊!放心,每个月都有1000块饭补。”
他顿了顿,又问:“人事没跟你说过饭补的事吗?”
“说了,我平时吃得就少。”桑哲咧嘴笑了笑,笑容有些干涩、不自然。
“多吃肉才有力气干活。”
李海柱说完,不由分说地给桑哲刷了一份牛排。
这东西又不是什么稀罕物,他在澳洲干了一年,都快吃吐了。
桑哲心里泛起一丝久违的暖意。
来之前,他还担心自己无法适应这里的生活,担心和同事相处不来,可现在看来,这些担心都是多余的。
正当他吃饭时,一个笑起来有两个酒窝的法国女员工径直坐在了桑哲对面:“你好,我叫莉娅,你叫什么名字?”
她说的是英文。
桑哲听懂了大半,缓缓抬头,与少女的目光撞在了一起。
……
……
“反义寡核苷酸能抑制蛋白沉淀,却没法修复DYRK1A,发育缺陷是既定事实,想逆转?难度可不小!”
莫斯智能的控制中心,陈延森站在屏幕前,望着眼前的一张图,小声嘀咕道。
屏幕上,代表DYRK1A基因的链条闪烁着暗红色的警示光,周围缠绕的蛋白分子如同杂乱的藤蔓,即便在反义寡核苷酸的作用区域,也只是暂缓了蔓延速度,并未出现丝毫消退的迹象。
思索片刻,陈延森悄无声息地启动了【四维领域】的天赋。
第919章 三体综合征?Mini版发售,500万盒!我们也要上车!
精神力如潮水一般,从他头顶上方的黑洞里涌出。
陈延森的意识瞬间脱离身体的桎梏,控制中心如同被投入水中的墨滴,迅速消融、扩散,最终化为一片无边无际的混沌暗域。
一圈泛着银色光泽的环形纹路在他瞳孔中浮现,眼前只剩下一团色彩斑斓的光线。
在四维领域中,他能随意操控时间流速、空间尺度与物理常数,宛如神明。
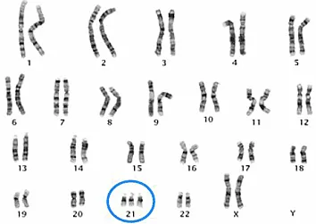
紧接着,一个“×”型染色体凭空显现。
反义寡核苷酸分子在蛋白藤蔓间艰难穿梭,试图阻断基因链条的异常表达,却收效甚微。
那些蛋白分子仿佛拥有自主意识,即便被暂时遏制,也会迅速从基因链条的其他位点重新滋生,继续缠绕、沉淀。
“问题的关键不在于抑制,而在于修复。
反义寡核苷酸的作用机制本身就存在局限性,必须找到能精准靶向DYRK1A基因缺陷位点,同时具备修复功能的分子结构。”
陈延森暗暗思忖。
在DYRK1A的模拟基因前,他只需意念一动,无数条代表DYRK1A基因变异可能性的链条,便能在模拟空间中快速生成、迭代。
无需依赖实验室设备,就能在短时间内完成现实中需要数十年才能观测到的基因演化路径。
暗红色的警示光在不同变异链条上呈现出不同亮度。
陈延森迅速排除与发育缺陷无直接关联的变异方向,最终锁定了三条最可能导致蛋白异常沉淀的核心演化分支。
“先用这三条分支构建药物分子库,再进行交互测试。”
陈延森当即做出决定。
下一秒,他开启了【普朗克时钟】。
顷刻间,模拟空间中出现了无数个并行的“测试舱”。
每个测试舱内都复制了相同的DYRK1A基因环境,不同的药物分子则像投入湖面的石子,被逐一送入测试舱中。
这些药物分子有的是基于现有药物结构的改良版,有的则是陈延森根据基因缺陷位点特性全新设计的分子结构。
在四维领域中,物质合成无需考虑现实中的原料限制与反应条件,只需精准定义分子结构,模拟空间就会自动推演其化学性质和生物活性。
不知过了多久,一个编号为“TriSIL-21”的药物分子进入了他的视野。
这是一个由靶向肽链和修复酶活性中心构成的复合分子,它没有像其他药物分子那样强行冲击蛋白屏障,而是凭借精准的靶向识别能力,如钥匙般嵌入DYRK1A基因的缺陷位点。
随后,修复酶活性中心开始发挥作用,原本杂乱缠绕的蛋白分子如同被解开的绳结,逐渐分解、脱落。
找到了!
陈延森心中一动。
随即调控模拟空间的时间流速,将其提升至现实的100万倍,以观察TriSIL-21分子在长时间作用下的稳定性,以及是否会对周围正常的基因片段和细胞环境造成影响。
经过数年的模拟观测显示,它不仅能持续修复DYRK1A基因的缺陷位点、抑制蛋白沉淀,还能与周围的生物分子形成稳定的良性交互,未出现任何明显的毒副作用。
更重要的是,在模拟的胚胎发育环境中,注入TriSIL-21分子后,原本因DYRK1A基因缺陷导致的发育迟缓、器官畸形等问题得到了显著改善。
这意味着,它既可以用于治疗已出现的病症,也能在胚胎阶段逆转基因缺陷带来的负面影响。
直到强烈的呕吐感袭来,陈延森才缓缓收回精神力。
黑暗与光线消退,控制中心重新回归现实。
落地窗外的阳光依旧明媚,刚才那场跨越数十年的研发推演,不过是秒针向前走了三格的功夫。
他将手放在超薄键盘上,以极快的速度写下了TriSIL-21的详细结构、作用机制和初步临床试验方案,每一个数据、每一个步骤都精准无误。
当最后一个字符落下,陈延森长长舒了口气,紧绷的神经终于松弛了些许。
屏幕上,TriSIL-21的分子结构模型正在缓慢旋转。
这是莫斯根据他的技术方案,临时绘制出来的。
靶向肽链的锯齿状结构与DYRK1A基因缺陷位点的凹槽完美契合,修复酶活性中心一旦嵌入便会被激活,进而有序压低多出来的那条21号染色体的整体表达,让细胞从三份拷贝的输出回归至接近正常两份拷贝的水平。

每个人都有23对染色体,正常人的21号染色体中含有2份DYRK1A基因,但有些人会拥有3份。
DYRK1A基因是一种高度保守的蛋白激酶编码基因,位于21号染色体的长臂区域。
它就像大脑中的“调速器”,调控着神经元的分裂、生长停滞时机、神经网络构建,以及学习、记忆、智力发育等关键过程。
上一篇:S级骨龙你不要,你选C级僵尸?
下一篇:黄油世界,百世重生开启爽文人生
